Tanntråd & Superfloss
Tanntråd
Det finnes mange ulike tanntråder på markedet og det er vanskelig å vite hva man skal velge? Tanntrådholder eller tråd på rull? Personlig er jeg ikke veldig glad i den ferdige tanntrådholderen, dette er fordi tråden lett blir for statisk. Jeg syntes den beste tråden er den originale dentotapen fra Johnson & Johnson. Tråden er tykk og seig i overflaten, noe som jeg tenker bidrar til å fjerne bakteriebelegget på tennene. Dersom man har veldig trange mellomrom anbefaler jeg flat tanntråd. Dette kan spesielt gjelde fortenner da det ofte er tettere mellomrom.
Det viktigste når man bruker tanntråd er at den kommer godt til på tannens krumning inn mot mellomrommet. Husk at det må to tenner til for å danne et mellomrom, begge tennene må rengjøres. På bildet under ser du at tråden trekker inn mot begge tennene i mellomrommet, samt at tråden er ført ned under tannkjøttkanten. Også her gjelder det å være nøye, men forsiktig!
Som ung og frisk pasient holder tanntråd mer enn nok, det er kun når mellomrommene tillater det at man skal bruke mellomromsbørster. Starter man med mellomromsbørster for tidlig så ødelegger man papillen med tannkjøtt mellom hver tann.


Superfloss eller Bridge & Implant floss
Superfloss er tråden som er helt nødvendig når man har implant eller bro. Tråden er laget på samme prinsipp som nål og tråd. Det vil si at den har en stiv ende slik at man kan tre tråden inn mellom tann og tannkjøtt. I en bro er flere tenner koblet sammen slik at vanlig tanntråd ikke kommer ned i mellom tennene. Den stive enden gjør det mulig å gå inn under broen og få rengjort under hengeledd på broen.
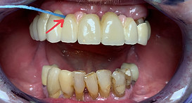
Superfloss ved bro på egne tenner og implantater
En bro består av pilarer og hengeledd. Pilarene er dine røtter/implantater og hengeleddene erstatter tapte tenner. På dette bildet har pasienten en bro som strekker seg over fire tenner, to bropilarer og to hengeledd.
Det er viktig å få rengjort inntil pilarene, og mellom hengeleddene og tannkjøttet. Dette er et yndet sted for bakterier å "gjemme seg". Dersom du får satt inn en bro er det viktig at du vet hvor broen sitter og hvordan den ser ut. Be Tannpleier eller Tannlege vise deg hvordan du bruker superfloss.
Når det gjelder implantater anbefaler jeg superfloss både ved implantatbro og enkle implantater.
Superfloss og rengjøring av implantater er nøyere forklart her.


