Mellomromsbørster
Mellomromsbørster
Mellomromsbørster, flaskekoster, interdentalbørster...kjært barn har mange navn. Og et kjært barn er det virkelig. Det er mange som ikke blir helt venn med mellomromsbørstene i starten, men øvelse gjør mester. Min anbefaling er å gi det tid, mellomromsbørstene vil bøye seg i starten, inntil du får teknikken inn i fingrene.
Den mest effektive metoden for å fjerne bakteriebelegget mellom tennene er mellomromsbørster. Dette gjelder selvfølgelig når du har plass til en mellomromsbørste i mellomrommet. Det fine med børsten er at friksjonen fra børstehårene får med seg bakteriebelegget ut. Dette forutsetter at du bruker store nok børster og at du bruker de riktig.
De små børstene skal brukes i sin fulle lengde, samt at de skal lage litt press i mellomrommet uten at du kjenner "lugging" fra metallstrengen. Børstene skal brukes ca 10-15 ganger i hvert mellomrom. Vær nøye, men forsiktig!
Det finnes mange typer mellomromsbørster på markedet. Ta en liten kvalitetssjekk på børstene når du kjøper de. Børstehårene skal være tette og ståltråden bør ikke bøye seg for lett.
Jeg får mange spørsmål på klinikken og her kan du lese mer om hva folk flest lurer på når det gjelder mellomromsbørster.
Hvordan brukes mellomromsbørsten?
Børsten skal fylle mellomrommet, men du skal ikke kjenne metallstrengen i midten av børsten.
Før børsten inn mellom tennene og bruk hele lengden på børsten.
Bruk børstene én gang per dag, det er det samme når på dagen du bruker de. Bakteriene har ikke klokke.
Riktig størrelse på børsten
Jeg skulle ønske det fantes en mellomromsbørste som passer i alle mellomrom, men her må jeg dessverre skuffe deg. De fleste som bruker mellomromsbørster har inntil 3-4 ulike størrelser.
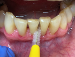
Dersom børsten er for liten vil bakterier sitte igjen på tannen eller tannkjøttet. På bildene under ser du at den gule børsten er for liten og det vil ikke bli tilstrekkelig rent. Den grå mellomromsbørsten fyller ut mellomrommet og bakteriene feies vekk.
Den gule er nok den som er mest behagelig, men det er den grå børsten som får jobben gjort! Forsøk en større mellomromsbørste en gang i blant for å sjekke om børsten du bruker er riktig.
Vær bevisst på at du legger trykket fra mellomromsbørsten opp/ned mot tannkjøttet, det er her mellomrommet er størst og plass for flest bakterier. Det kan også være lurt å føre børsten inn ved tannkjøttkanten, da det er størst plass.


Når det er bakterier og infeksjon vil det være blødning ved bruk av mellomromsbørster, tanntråd eller lignende, MEN IKKE GI DEG! Blødningen vil avta etter ca 1 uke med daglig jobbing.
Skal jeg stoppe når det kommer blod på børsten?
Nei, ikke stopp med mellomromsbørster dersom det er blødning!
Blødning er et signal fra kroppen om at det er infeksjon i tannkjøttet. Jeg pleier å si at det er kroppen din eller immunforsvaret som sladrer på bakterienes tilstedeværelse.
Når du oppdager blødning skal du fortsette med børstene. Etter ca én uke med daglig bruk av mellomromsbørster vil du merke at blødningen avtar. Da begynner du å få kontroll på infeksjonen. Et friskt tannkjøtt blør ikke!
Jeg har pasienter som sier de aldri har blødninger ved bruk av mellomromsbørster til tross for at det er dype lommer og tydelig tegn på infeksjon. Det kan være flere årsaker til at du ikke merker blødning hjemme:
-
Kanskje du trenger større mellomromsbørster? Når børsten blir for liten, blir det liggende igjen bakterier. Disse bakteriene koser seg glugg ihjel på tann og tannkjøtt, til tross for at du rengjør mellomrommet. Når børstehårene ikke fyller ut mellomrommet så får den ikke med seg alle bakteriene ut og infeksjon er et faktum. Siden du ikke når inn til tannkjøttet der bakterien sitter, kan heller ikke kroppen sladre på bakteriene med å vise deg blødningen. Pass derfor på at du alltid har store nok børster!
-
Kanskje du røyker, snuser eller bruker andre nikotin preparater lokalt i munnen? Nikotin har den kjedelige effekten av å kamuflere infeksjonstegnet blødning. Blodårene trekker seg sammen når nikotin inntas. Tannkjøttets og tannens blodtilførsel reduseres og infeksjontegnet blødning kan være helt fraværende. Dette er skummelt da man kan tro at alt er friskt i munnen fordi blødningen er fraværende. Jo mer du bruker nikotinpreparater, dess mindre blodtilførsel.
Bruk mellomromsbørsten på kryss og tvers
Vær kreativ når du skal rengjøre i munnen. Tenk én og én tann, kjenn etter med tungen om tannflaten blir ordentlig ren. Tungen er verdens beste "sladrekjærring", bruk den for alt det er verdt.
Tennene har fem flater, men de er ikke firkantede. Tenk også på dette når du rengjør i mellomrommet. Jeg vil anbefale deg å bruke børsten i kryss mellom tennene. Litt vanskelig å forklare med ord, men se bildene under:


Her går man inn med børsten fra siden slik at man får tatt de bakteriene som sitter på tannens avrundede kant.
Blødning på innsiden, men ikke utsiden
Det kan hende at du har dypere lommer på innsiden, inn mot ganen/tungen. Når dette skjer anbefaler jeg alltid å bruke mellomromsbørsten fra innsiden i tillegg til utsiden.
Det kan være vrient å få til fordi du kanskje brekker deg, det blir speilvendt og at det blir vanskelig å finne mellomrommet. Også her gjelder øvelse gjør mester! Noen tips for å lykkes:
1. Bruk en mellomromsbørste med langt skaft eller en der det følger me en hette/kork som kan forlenge skaftet
2. Gå vekk fra speilet. Når du ser deg selv i speilet og du skal bruke mellomromsbørsten fra innsiden blir det speilvendt. Så hvis du ikke er skikkelig god på å rygge med speil, føl deg frem ved hjelp av tungen istedenfor. Be tannpleier eller tannlege instruere deg nøye. Prøv med mellomromsbørsten selv foran tannpleier/tannlege slik at du kan få veiledning til å lykkes.
Her viser jeg med en lommedybdemåler at det er dypere lomme inn mot ganen, enn det er på kinnsiden


I slike tilfeller utfordrer jeg deg gjerne til å bruke mellomromsbørstene fra begge sider. Når du bruker børsten fra utsiden vil du kjenne at den er mest effektiv på kinnsiden. Dette er også grunnen til at det blir liggende bakterier på tannens ganeside. Når du snur børsten og bruker den fra ganesiden og ut mot kinnet, oppnår det samme effekten på innsiden.


Tips for å lykkes med mellomromsbørster:
-
Bruk mellomromsbørster som fyller ut mellomrommet.
-
Bruk hele børsten lengde, 10-15 repetisjoner i hvert mellomrom.
-
Ulike størrelser til ulike mellomrom.
-
Mellomromsbørster kan brukes mer enn én gang. Skyll og bruk igjen, akkurat som tannbørsten.
-
Ta deg et par dager fri dersom du kjenner gnagsår i tannkjøttet.